Invisalign Treatment
Invisalign braces are removable clear aligners that straighten your teeth gradually to give you that perfect smile.
Streatfield Dental Surgery is an experienced dentist practice in Harrow, London, offering Invisalign retainer treatment so you can smile with confidence.
Invisalign vs braces, say goodbye to fixed brackets and wires, and say hello to clear removable aligners that gently move your teeth into the desired position. They are convenient, comfortable and virtually invisible.
Invisalign® Open Day Harrow 2025
06/12/ 2025
Save over a £1000 on the day and get interest free payment over 12 months
How Does Invisalign Work?
Invisalign clear aligners are nearly invisible cosmetic braces that correct crowded and misaligned teeth to provide a straighter smile. Millions of people across the country have used this treatment to get the smile they’ve always wanted.
Invisalign braces use a series of transparent aligners made from thin clear plastic that fit perfectly onto your teeth.
As well as being hard to see when wearing, they can also be easily removed for brushing, flossing, and eating.
Clear aligners have become one of the most popular treatments for straightening teeth among adults – not only for the fantastic results, but also because they are practically invisible to other people. They are a revolutionary cosmetic alternative to traditional metal braces.
Invisalign Testimonial Video
In the video below a satisfied patient tells us about her Invisalign journey at Streatfield Dental.
TRY A NEW SMILE IN 60 SECONDS.
Click on the button below and follow the instructions
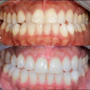
Invisalign before and after
Below you can see how the aligners have moved and straightened teeth to improve alignment and give the patients the smile they always wanted.
Frequently asked questions
How Much is Invisalign?
Invisalign Cost
Our exclusive packages for Invisalign treatment costs from £3600 to £4999
Watch out for our Invisalign Open Days where we offer free Invisalign consultations and other bonuses.
We offer affordable payment plans to allow you to spread the cost of invisalign. Read more about our treatment finance.
How will clear aligners straighten my teeth?
After creating a unique treatment plan that maps out your teeth, your aligners will be designed to fit perfectly to your teeth. they will then apply the right amount of force to the right places to straighten your teeth, reduce overcrowding and improve crooked teeth.
Are the aligners visible when I’m wearing them?
No! While wearing your aligners they will be nearly invisible and it will be difficult for others to know that you are wearing them.
Can I take my aligners off whenever I need to?
Invisalign aligners can be removed completely so you are not limited at all for eating, drinking or while cleaning your teeth.
Book an Invisalign Invisible Aligners Consultation Today
Call today on: 0208 204 9485, or email us at: [email protected] and make an appointment at Streatfield Dental.
Why Choose Streatfield Dental for Clear Aligners?
- Leading provider of Invisalign
- Dentists experienced in Orthodontics
- Clear advice and treatment plans
- Transparent costs with no hidden extras.
- Committed to safety and patient care.
- Family-friendly and professional service at a local practice.
- Treatment finance available
As with all of our treatments, we aim to provide all of our patients with excellent dental care in a relaxing environment








